Hizmetlerimiz hakkında detaylı bilgi almak, randevu oluşturmak veya randevunuz hakkında bilgilendirme için bize ulaşın....

Shopping cart

Subtotal $0.00

View cartCheckout

Acil Kırık Tedavisi: Bilmeniz Gereken 5 Temel Bilgi


Kemik kırıkları, günlük yaşamda düşmeler, spor yaralanmaları, trafik kazaları veya çeşitli travmalar sonucu sıkça meydana gelen, kemik bütünlüğünün bozulduğu durumlardır. Bu blog yazısında, acil kırık tedavisinin ne zaman ameliyatla, ne zaman ameliyatsız tedavi edildiğini ve kırık ameliyatlarında kullanılan implantları detaylı bir şekilde ele alacağız.


Kırık Nedir? ve Kırık Türleri Nelerdir?


Kırık, bir kemiğin fiziksel kuvvetlere maruz kalması sonucu yapısının bozulması, çatlaması veya tamamen ayrılması durumudur. Kırıklar, açık (deri bütünlüğünün bozulduğu) veya kapalı (derinin sağlam kaldığı) olabilir. Ayrıca, kırığın şekline göre basit, parçalı, spiral veya yaş ağaç kırığı gibi farklı tipleri bulunur. Her kırık tipi, farklı tedavi yaklaşımları gerektirebilir.


Acil Kırık Tedavisi Neden Gereklidir?

Kırıklar, sadece ağrıya neden olmakla kalmaz, aynı zamanda acil tedavi gerektiren ciddi komplikasyonlara da yol açabilir. Bu komplikasyonlar ve acil müdahale gerektiren durumlar şunlardır:

  • Damar ve Sinir Yaralanmaları: Kırık kemik uçları, çevrelerindeki damar ve sinirlere zarar vererek kanama, dolaşım bozukluğu, uyuşma, felç gibi ciddi sorunlara neden olabilir. Bu durumlar, uzuv kaybına kadar gidebilecek sonuçlar doğurabilir ve acil cerrahi müdahale gerektirebilir.
  • Açık Kırıklarda Enfeksiyon Riski: Kırık kemiğin deriyi yırtarak dışarı çıktığı açık kırıklarda, dış ortamdan mikroorganizmaların kemiğe ulaşmasıyla enfeksiyon riski çok yüksektir. Kemik enfeksiyonları (osteomiyelit) ciddi, uzun süreli ve tedavisi zor durumlardır. Bu nedenle açık kırıklara acil olarak cerrahi müdahale edilerek yara temizliği ve enfeksiyon önleyici tedbirler alınmalıdır.
  • Organ Hasarı: Özellikle kaburga, pelvis veya omurga gibi kemik kırıklarında, kırık parçalar iç organlara zarar vererek hayati tehlike oluşturabilir. Örneğin, kaburga kırıkları akciğerlere, omurga kırıkları ise omuriliğe baskı yaparak felç veya organ fonksiyon bozukluklarına yol açabilir.
  • Şok: Büyük kemik kırıkları, önemli miktarda kan kaybına neden olarak hastanın şoka girmesine yol açabilir. Bu da acil tıbbi müdahale gerektiren hayati bir durumdur.
  • Kompartman Sendromu: Özellikle alt bacak veya ön kol gibi kapalı kompartmanlarda meydana gelen kırıklarda, kırık sonrası oluşan şişlik ve kanama nedeniyle kaslar ve sinirler sıkışabilir. Bu durum, acil cerrahi müdahale gerektirmezse kalıcı hasara veya uzuv kaybına yol açabilir.

Yukarıda belirtilen nedenlerden dolayı, herhangi bir kırık şüphesi durumunda vakit kaybetmeden en yakın sağlık kuruluşuna başvurmak hayati önem taşır.

Kırıklar Ne Zaman Ameliyat Edilir?

Kırıkların tedavisi, kırığın tipine, yerine, ciddiyetine, hastanın yaşına ve genel sağlık durumuna bağlı olarak değişir. Cerrahi müdahale, her kırık için gerekli değildir ancak belirli durumlarda en iyi sonuçları sağlamak için tercih edilir:

  • Yer Değiştirmiş (Deplase) Kırıklar: Kırık kemik parçalarının anatomik pozisyonlarından ayrıldığı durumlarda, kemiklerin doğru şekilde kaynaması için cerrahi olarak yerine oturtulması ve sabitlenmesi (açık redüksiyon ve internal fiksasyon – ORIF) gerekir.
  • Eklem İçi Kırıklar: Kırık hattı eklem yüzeyini etkilediğinde, eklem uyumunu sağlamak ve ileride kireçlenme riskini azaltmak için cerrahi müdahale önemlidir.
  • Açık Kırıklar: Kırık kemiğin deriyi yırtarak dışarı çıktığı durumlarda, enfeksiyon riskini önlemek ve yara temizliğini sağlamak amacıyla acil cerrahi müdahale gereklidir.
  • Parçalı Kırıklar: Kemik birden fazla parçaya ayrıldığında, kemik parçalarını bir arada tutarak stabilite sağlamak için genellikle cerrahi fiksasyon gerekir.
  • Bağ ve Tendon Yaralanmaları ile Birlikte Kırıklar: Kırığa ek olarak bağ veya tendon yaralanmaları varsa, bu yapıların onarımı ve kemiklerin sabitlenmesi için cerrahi tercih edilebilir.
  • İyileşmeyen (Non-union) Kırıklar: Ameliyatsız tedaviye rağmen kemiğin iyileşmediği durumlarda, kaynamayı sağlamak için cerrahi müdahale gerekebilir.
  • Damar veya Sinir Hasarı ile Birlikte Kırıklar: Kırık kemiklerin damar veya sinirlere baskı yaparak hasara neden olduğu durumlarda, bu yapıları kurtarmak ve korumak için acil cerrahi gerekebilir.


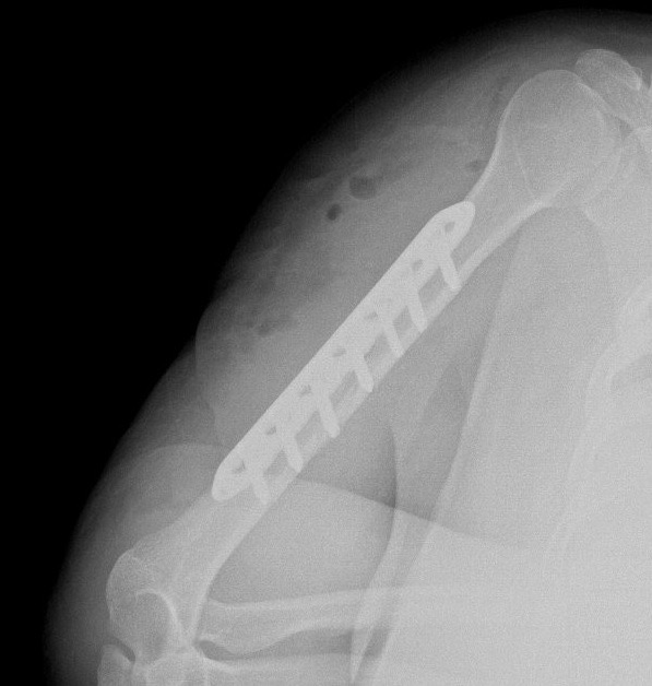
Kırık Ameliyatında Kullanılan İmplantlar

Kırık ameliyatlarında, kırık kemik parçalarını sabitlemek ve iyileşme sürecini desteklemek için çeşitli metal implantlar kullanılır. Bu implantlar genellikle titanyum, paslanmaz çelik veya nikel alaşımlarından yapılmıştır ve biyolojik olarak uyumlu oldukları için vücutta kalmaları genellikle güvenlidir. En sık kullanılan implant türleri şunlardır:

  • Plaklar ve Vidalar: Kemiğin dış yüzeyine yerleştirilen metal plakalar, vidalarla kemiğe sabitlenerek kırık parçalarını bir arada tutar. Özellikle uzun kemik kırıklarında ve eklem çevresi kırıklarda kullanılır.
  • İntramedüller Çiviler (İliğe Çiviler): Kemik içindeki medüller kanala yerleştirilen uzun metal çivilerdir. Uyluk kemiği (femur) ve kaval kemiği (tibia) gibi uzun kemik kırıklarında sıklıkla tercih edilir. Kemik iliği içinde stabilite sağlayarak iyileşmeyi destekler.
  • Teller: Daha küçük kemik kırıklarında veya parçalı kırıklarda, kemik parçalarını geçici olarak bir arada tutmak için kullanılabilir.
  • Eksternal Fiksatörler: Özellikle açık kırıklarda, ağır travmalarda veya enfeksiyon riski yüksek durumlarda kemiklerin dışarıdan bir çerçeve ile sabitlenmesidir. Kırık kemiğin dışarıdan teller veya çivilerle birleştirildiği bir yapıdır.
acil kırık tedavisi


Kırıklar Ne Zaman Ameliyat Dışı (Konservatif) Tedavi Edilir?

Her kırık ameliyat gerektirmez. Özellikle stabil, yer değiştirmemiş veya çok az yer değiştirmiş kırıklarda ameliyatsız tedavi yöntemleri tercih edilebilir:

  • Alçı veya Atel Uygulaması: Kırık kemiğin hareketsiz kalmasını sağlayarak doğal iyileşme sürecini destekler.
  • Kol Askısı veya Destekleyici Bandaj: Özellikle omuz veya kol kırıklarında kullanılır, etkilenen bölgeyi destekler ve hareketi kısıtlar.
  • Bandajlama: Parmak kırıkları gibi küçük kırıklarda veya burkulmalarla birlikte olan hafif kırıklarda kullanılabilir.
  • Dinlenme ve Aktivite Modifikasyonu: Kırık bölgeye yük binmesini önlemek ve iyileşme sürecini hızlandırmak için fiziksel aktivitelerin kısıtlanması.
  • Ağrı Yönetimi: Ağrı kesici ilaçlar ve soğuk uygulama ile ağrı kontrol altına alınır.
  • Düzenli Takip: Kırığın iyileşme sürecini ve hizalanmasını kontrol etmek için düzenli doktor kontrolleri ve röntgenler önemlidir.


Sonuç


Acil kemik kırıkları, ciddiyetine göre acil müdahale gerektiren veya uzun süreli tedavi süreçleri olan ortopedik sorunlardır. Web sitemiz olan bursaortopedi.org adresinde yer alan uzman ortopedi ekibimiz, her tür kırığın teşhis ve tedavisinde size en güncel ve etkili yöntemleri sunmaktadır. Erken teşhis, uygun tedavi ve kapsamlı bir rehabilitasyon programı ile hastaların büyük bir kısmı normal yaşamlarına dönebilirler.


Unutmayın:
Bu bilgiler genel bir rehber niteliğindedir. Her kırık farklıdır ve kişiye özel tedavi planı, mutlaka bir ortopedi uzmanı tarafından belirlenmelidir.

Doktorlarımızın web siteleri için tıklayınız

Dr.Öğr.Üyesi.Yusuf Onur Kızılay

Doç.Dr.Hanifi Üçpunar

Prof.Dr.Yalkın Çamurcu

Yorum yapın

E-posta hesabınız yayımlanmayacak. Gerekli alanlar işaretlendi *